横隔膜ヘルニア/猫かぜ医療費】過酷な世界で生きる猫たちを守るためご - 猫 臓器 場所
横隔膜ヘルニア/猫かぜ医療費】過酷な世界で生きる猫たちを守るためご 
初めて猫を飼う人の心構えは?習性・性格から見た飼い方を解説|りそな 
猫のアレルギー アイリスプラザ_メディア
猫のはなし チャオ動物病院 - Part 3
「ネコの宿命」腎臓病の治療法、人間にも応用 5年以内にヒト治験 
誰からも見放された猫や犬の命を救いたい!妨害に苦しむ真の動物保護 
日月譚 自閉症児×2 犬×2 猫×3との暮らし
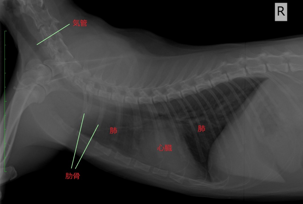
代表的な症例 ハヤシ犬猫病院
多臓器不全u2026 NPO法人ねこけん Official Blog
死んだ野良のオス猫に寄り添い離れようとしない子猫。このオス猫は子猫 
スタッフブログ 動物病院 京都 ねこの病院 - Part 4
平成動物病院|当院の症例
0 Response to "横隔膜ヘルニア/猫かぜ医療費】過酷な世界で生きる猫たちを守るためご - 猫 臓器 場所"
Post a Comment